An abstract digital art piece with a gradient blue background and white bubbles, resembling a stylized underwater scene or a dreamlike atmosphere.

Smile Gallery

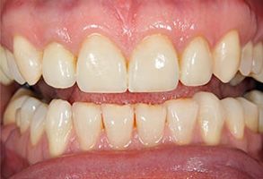
A close-up of a person s teeth showing a yellowish discoloration, with the individual smiling.

Before

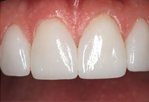
The image shows a close-up of a person s teeth and smile, highlighting the brightness and cleanliness of their dental care.

After

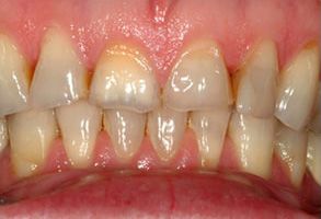
The image shows a close-up of a person s teeth with an emphasis on the yellowing and staining, which are indicative of poor oral hygiene or dental issues.

Before

The image shows a close-up of a person s teeth with a focus on the upper teeth, which are yellowed and appear to be in need of dental care.

After

The image is a close-up photograph of a person s face, showing a smile with teeth and lips.

Before

An image of a person s face with a smile, showcasing their teeth and facial features.

After

A close-up of a person s mouth with crooked teeth and an open smile, showcasing dental imperfections.

Before

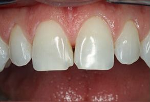
The image shows a close-up of a person s teeth, focusing on the front teeth and part of the gum line.

After

The image shows a close-up of a person s teeth with yellowing and staining, indicating poor oral hygiene.

Before

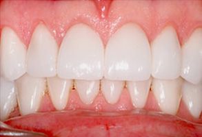
The image displays a close-up view of a person s teeth with a focus on the lower front teeth, showcasing a smile with a bright and clean appearance.

After

The image shows a close-up of a person s mouth with a focus on a set of teeth.

Before

The image displays a close-up of a person s teeth, showcasing a bright and healthy smile with white fillings.

After

A close-up of a person s teeth with a focus on the yellowing and staining, highlighting dental issues.

Before

The image shows a close-up of a person s teeth with a focus on the front teeth, which are yellowed and appear to be in need of dental care.

After

Office Hours

Monday
10:00 am - 6:00 pm
Tuesday
9:00 am - 6:00 pm
Wednesday
8:00 am - 5:00 pm
Thursday
8:00 am - 2:00 pm
Friday
8:00 am - 2:00 pm
Saturday
8:00 am - 2:00 pm (Alternating)

Healthy Smiles Dental Care
906 E. Irving Park Road, Streamwood, IL 60107
© 2026 Healthy Smiles Dental Care. All Rights Reserved. | Accessibility Policy
Dentist in Streamwood | Streamwood Cosmetic Dentist | Dentist Streamwood
An abstract digital art piece with a gradient blue background and white bubbles, resembling a stylized underwater scene or a dreamlike atmosphere.